欢迎来到上海远慕生物科技有限公司官方网站!
13310162040

用于石蜡切片的骨相关酶(TRAP、ALP)的双重染色法

2018-08-17 9:52 作者:洛辰 来源:上海远慕生物试剂
1.  前言
了解活体的骨代谢状态是研究相关细胞生理活性的一个有效方法。对骨组织进行碱性磷酸酶(ALP)染色后可以了解成骨细胞的骨形成情况,对骨组织进行抗酒石酸酸性磷酸酶(TRAP)染色可以了解破骨细胞的骨吸收情况。若在同一切片上进行双重染色就能同时了解两者的情况。另外,它有一个优点是在脱钙标本里,只要可以双重染色,无需专用的设备,仅用一般的设备就可以方便地观察到骨代谢。在此前提下,我们需要研究探讨双重染色的可行性。

实验材料及方法:

2.  标准标本的制作
用树脂包埋法或冻结切片法制成的标本作为标准标本,与脱钙的石蜡切片作比较。也就是说,酒精固定小鼠肘关节后,用乙二醇甲基丙烯酸甲酯(GMA)包埋,使用硬组织用的切片机制作成2μm的切片,然后进行TRAP与ALP染色(图1)。继而,制成脱钙冻结切片(图2)。之后,研究并改良在固定、脱钙、染色各阶段中双重染色的可行性。

图1. 标准标本(GMA树脂包埋)

照片是小鼠的肘关节的染色标本,作为本实验的标准标本。左上图是TRAP染色,右上图是ALP染色。下图是两者的双重染色。以此作为阳性对照,与脱钙石蜡切片一起进行染色及染色性的评价。

图2. 脱钙冻结切片的酶染色

用30%的庶糖液浸泡经柠檬酸脱钙的小鼠腰椎及右上肢,然后经OCT复合物的包埋、Tissue-Tek PINO(Sakura Finetek Japan Co.,Ltd.产品)的冻结、Cryo 3(Sakura Finetek Japan Co.,Ltd.产品)的切割,得到5μm的冻结切片。切片进行酶染色。不仅可以进行TRAP染色(左图:红色)与ALP染色(中间:褐色)的单染色,还可以进行双重染色(右图)。
 

图3. 经福尔马林进行第一次固定的固定时间及TRAP/ALP的

染色性研究
①是没有经过福尔马林固定,只用酒精进行第二次固定的样品,ALP染色显强阳性。TRAP染色显阴性。②是经福尔马林16小时固定及③是4天固定后,TRAP与ALP都能很好地染色。然而,经福尔马林固定一个月后的临床样本(骨软骨肿)虽然TRAP染色显阳性,但ALP不能被染色。
 

图4.  不同种类的脱钙溶液对双重染色的影响
最左图是选用酸性脱钙溶液中对组织伤害较少的甲酸福尔马林

脱钙溶液脱钙3天(Histra-DC,8~16℃)后的大鼠膝关节。TRAP与ALP都不能被染色。与此相反,中间的柠檬酸盐酸盐脱钙溶液及最右的EDTA脱钙溶液都可以使样品脱钙后进行TRAP/ALP双重染色。

3.  关于固定
ALP染色使用不是由福尔马林固定的新鲜材料,因此若不在短时间内固定,就会失去其酶活性。我们建议使用80%的酒精去固定。请验证以下情况:

①    小鼠的膝关节不进行第一次固定,直接用酒精浸泡进行第二次固定组。
②    经福尔马林(4%多聚甲醛溶液)第一次固定小鼠腰椎16小时后,再用酒精进行第二次固定组。
③    经福尔马林进行第一次固定小鼠腰椎4天后,再进行第二次固定组。
④    临床的样本经福尔马林进行第一次固定小鼠腰椎一个月后,再进行第二次固定组。

各组进行TRAP、ALP的双重染色,并检验染色是否可行。图3是染色的研究结果。在本实验中,福尔马林固定时间为16小时至4天的可以进行TRAP、ALP的双重染色。

4.  关于脱钙
ALP是含有金属(Zn)的蛋白。脱钙作用会使Zn也一并被除去而导致酶失去活性。为了弥补这个缺点,加入硫酸锌(ZnSO4),使ALP活化。每100ml的脱钙溶液加入0.4ml 1%的ZnSO4 溶液,以补充Zn。并且,在作为脱钙溶液柠檬酸盐酸盐缓冲液中添加Zn的同时,加入相同量螯合剂EDTA溶液的相关研究在进行中。也有研究在酸性脱钙溶液(甲酸福尔马林溶液)中的酶是否能反应。结果显示脱钙溶液与柠檬酸一样,在EDTA溶液中能很好地染色。相反,在甲酸福尔马林溶液中不能使酶染色(图4)。此外脱钙方法是用超声波脱钙装置(Histra-DC,普通光度)在8-16℃的低温下,连续操作3-6天,使样品脱钙。脱钙后用甘氨酸与佛罗那 (Veronal)缓冲液(pH7.4)洗净,用磷酸钙在组织上吸附,防止沉淀。

5.  关于染色
染色法使用的是Lorch的Gomori法。本实验使用的是同时采用偶氮染色法和偶联反应法的TRAP/ALP染色试剂盒(和光纯药,产品编号294-67001)。关于切片的厚度,Lorch建议为8μm,同时也研究过普通的4μm切片是否能染色、双重染色的顺序应该先染TRAP和ALP中的哪一个、封片剂是否必须选水溶性封片剂等问题。

染色法的结果是偶氮染色法中,切片过厚就会有酶扩散现象,即骨基质的TRAP染色倾向染成红色。即使是4μm的切片,只要增强了反应条件(反应温度及反应时间),也能充分染色。也就是说,TRAP染色反应温度为室温至37℃,反应时间为30分钟至45或60分钟。ALP染色可在37℃下反应45分钟至3小时,也可在室温(10~15℃)下延长反应时间至一晚。最后,可以得到两者色调平衡、良好的染色结果(图5)。但是,增强反应条件会使ALP染色的切片上产生更多的色素颗粒(图2)。而TRAP与ALP的染色顺序从任意一方开始都可以。但是,先ALP再TRAP染色时,阳性部位呈现明显红色,使用新鲜的破骨细胞染色,能得到相对好的标本。但是ALP的反应原产物因TRAP溶液而产生白色混浊颗粒状体,会在组织上沉淀。因此,先TRAP染色再ALP染色的话会比较好。封片:用甲基绿,几秒即可使核染色,水洗后在37℃下干燥,经二甲苯透明,经屈大麻酚(Marinol)永久封片。有文献建议在透明前使用酒精脱水,但这会使反应产物浸出及扩散。

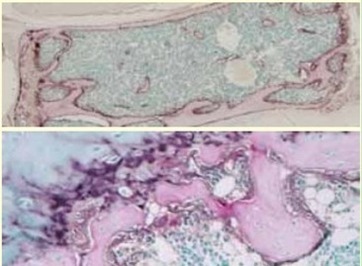
图5. 脱钙石蜡包埋切片的TRAP/ALP双重染色
使用1岁小鼠腰椎的EDTA脱钙石蜡切片进行TRAP/ALP双重染色。破骨细胞的TRAP染色呈红色,细胞活性强的细胞(成骨细胞、软骨细胞)ALP染色为褐色。(上面:弱扩大,下面:强扩大)

6.  结语
TRAP与ALP两种酶在每次固定、脱钙、染色后,只要经过若干改良,就可以使脱钙后的石蜡标本染色。但是,酶扩散现象,特别是在TRAP染色时这种现象更明显。影响因素有多种,主要应该是受固定的影响,若固定不充分,脱钙时很容易出现问题,从而导致酶扩散现象的发生。此外必须注意脱钙自身的影响,也就是说,与非脱钙标本相比,脱钙标本观察到的扩散现象较多。说明标本脱钙很可能导致酶扩散。另外,也应考虑切片的厚度或双重染色的顺序影响。今后我们将向这个方向研究。
收缩
QQ咨询
  • 标准品
电话咨询
  • 客服一  13310162040
  • 客服二  18001933641
邮箱咨询
  • shyuanmusw@163.com